ClearView News
education /

Can a heart CT scan detect blocked arteries?

CT Scans Versus Stress Tests To Detect Clogged Arteries

According to a study by Johns Hopkins University¹, research shows that CT scans are effective for detecting the risk of developing clogged arteries. The study compared people who received CT scans to people who got stress tests.

What is the best test to find clogged arteries?

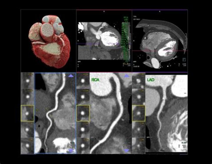
A CT coronary angiogram can reveal plaque buildup and identify blockages in the arteries, which can lead to a heart attack. Prior to the test, a contrast dye is injected into the arm to make the arteries more visible. The test typically takes 30 minutes to complete.

Can chest CT scan detect heart problems?

There are several types of CT scans used in the diagnosis of heart disease, including: Calcium-score screening heart scan. Coronary CT angiography (CTA) Total body CT scan.

Can a heart scan show blocked arteries?

A heart scan is not a substitute for stress testing and can tell you how blocked a coronary artery is, furthermore it does not detect any non-calcified plaque that may be present.

What will a heart CT scan show?

A heart CT scan shows detailed images of your arteries, aorta, heart and valves, so that healthcare professionals can measure your heart health without an invasive or lengthy procedure. After your heart CT scan in our low-dose Siemens CT scanner, you will receive your coronary calcium score.

Having a Cardiac CT Scan in Hospital

Can a CT scan detect plaque in arteries?

A heart computerized tomography (CT) scan, also called a calcium-score screening heart scan, is used to find calcium deposits in plaque of people with heart disease. They're an effective way to spot atherosclerosis before symptoms develop.

Does a CT scan show blocked carotid artery?

Usually, it provides a clear enough picture to identify a blockage and determine a treatment plan. But occasionally, other scans such as magnetic resonance imaging (MRI), carotid angiography (a special type of X-ray) or computerized tomography (CT) are also needed.

How do you check if my arteries are blocked?

Are there tests for clogged arteries?

  1. Cholesterol screening.
  2. Chest X-ray.
  3. CT scan.
  4. Ultrasound.
  5. Echocardiogram and/or cardiac stress test.
  6. Electrocardiogram.
  7. MRI or PET scanning.
  8. Angiogram.

Which is better CT scan or angiogram?

It was found that CT angiogram identified 85% of patients with significant stenoses and 90% of patients with CAD accurately. The authors concluded that while CT angiography was not ready to replace conventional angiograms entirely, the more modern procedure was nearly as accurate as the traditional angiogram.

What does artery blockage feel like?

The symptoms of an artery blockage include chest pain and tightness, and shortness of breath. Imagine driving through a tunnel. On Monday, you encounter a pile of rubble. There is a narrow gap, big enough to drive through.

Why would a cardiologist order a CT scan?

CT rapidly creates detailed pictures of the heart and its arteries. The test may diagnose or detect: Plaque buildup in the coronary arteries to determine your risk for heart disease. Congenital heart disease (heart problems that are present at birth)

Can you have good blood pressure and still have clogged arteries?

Although high blood pressure is common, it's not harmless. High blood pressure is a major cause of atherosclerosis, the artery-clogging process that leads to heart attacks and strokes. Blood pressure higher than 130/80 is seen in: 69% of people who have their first heart attack.

How do you check for heart blockage without angiography?

Nuclear stress test: a radioactive dye or tracer can be injected into your bloodstream and then watched with a special camera while you are on the treadmill. The dye will slow down or move differently as it passes through narrowed or blocked arteries.

Can a blocked artery clear itself?

Is it possible to Unclog Arteries Naturally? Although it isn't possible to remove plaque from your arterial walls without surgery, you can halt and prevent future plaque build-up.

Which artery is the most common to have blockage?

Importance in cardiovascular diseases:

The LAD artery is the most commonly occluded of the coronary arteries. It provides the major blood supply to the interventricular septum, and thus bundle branches of the conducting system.

Is a heart CT scan worth it?

Many community clinics advertise coronary artery calcium scans, also known as heart scans, to assess the risk of heart attack. There is no evidence that these scans provide any benefit, and they are of questionable quality.

What is the difference between a CT scan and a CT angiogram?

Computed tomography (CT) scan is a type of x-ray that uses a computer to take cross-sectional images of your body. Computed tomography angiography (CTA) combines a CT scan with a special dye or contrast material to produce pictures of blood vessels and tissues in a section of your body.

Can blood test detect blocked arteries?

February 1, 2019 – Researchers hope to develop a test that could detect early changes in blood flow to the heart. A pilot project by Duke and DCRI researchers suggests that in the near future, a blood test could show whether arteries carrying blood to the heart are narrow or blocked, a risk factor for heart disease.

What are signs of a heart blockage?

If a person has a heart block, they may experience:

  • slow or irregular heartbeats, or palpitations.
  • shortness of breath.
  • lightheadedness and fainting.
  • pain or discomfort in the chest.
  • difficulty in doing exercise, due to the lack of blood being pumped around the body.

At what age do your arteries start clogging?

By the age of 40, about half of us have cholesterol deposits in our arteries, Sorrentino says. After 45, men may have a lot of plaque buildup. Signs of atherosclerosis in women are likely to appear after age 55.

What are the symptoms of a partially blocked carotid artery?

Carotid Artery Blockage Symptoms

  • Blurred vision or vision loss.
  • Confusion.
  • Memory loss.
  • Numbness or weakness in part of your body or one side of your body.
  • Problems with thinking, reasoning, memory and speech.

Does your neck hurt when your carotid artery is blocked?

It is linked with physical changes that can happen in a carotid artery in your neck. Your neck may feel tender in the area of the artery. The pain often goes up the neck to the jaw, ear, or forehead.

Can you feel a carotid artery blockage?

The plaque or clot can travel through the bloodstream and get stuck in one of your brain's smaller arteries. Carotid artery disease often does not cause symptoms until the blockage or narrowing is severe. One sign may be a bruit (whooshing sound) that your doctor hears when listening to your artery with a stethoscope.

What are the symptoms of plaque buildup in arteries?

Cholesterol deposits, or plaques, are almost always to blame. These buildups narrow your arteries, decreasing blood flow to your heart. This can cause chest pain, shortness of breath or even a heart attack.

How accurate is CT angiography?

The diagnostic accuracy of CT coronary angiography was evaluated regarding true positive, true negative values. The overall sensitivity and specificity of CT angiography technique was 100% (95% confidence interval [CI]: 39.76%–100%) and 91.30% (95% CI: 79.21%–97.58%).