ClearView News
global news /

Can a rotten tooth be saved?

Can a decayed tooth be saved? With the right dental professionals by your side, even severely decayed teeth can be restored. Whether you require dental crowns, fillings, or a combination of treatments, No Gaps Dental can help restore your smile and confidence.

Can rotten teeth be fixed?

Your dentist can replace the rotten tooth with an implant or dental bridge. Or, if you need an entire set of upper or lower teeth, dentures are also an option. Your dentist can discuss the pros and cons of each treatment plan before you move forward but don't wait too long.

Can a dentist save a decayed tooth?

Your endodontist will drill a small hole to gain access to the decayed pulp. Once the decayed pulp is removed, your dentist will disinfect the tooth and file it. The empty root canal will be filled and then later on sealed to restore its integrity and strength.

Can a rotten tooth go back to normal?

When a tooth is badly decayed, the dentist may extract it and replace it with an implant. Although there is no absolute cure to fix rotten teeth, there are treatment options available to limit further decay. However, treatment options may depend on the severity of the cavity.

What happens if you leave a rotten tooth?

Although not an immediate consequence, dentists strongly advise that letting rotten teeth go unattended can lead to blood poisoning. This happens because the rot from the teeth keeps getting deposited into the mouth, and in most cases, it's swallowed along with saliva.

Can My Rotten Teeth Be Saved? | Our Life

How long can a rotten tooth stay in your mouth?

A dead tooth can stay in your mouth for up to several days or months; however, keeping a dead tooth may lead to problems with your jaw and also result in the spreading of decay and bacteria to other teeth. Most dentists will recommend having the dead tooth extracted and replaced with a denture, bridge, or implant.

How much does it cost to fix rotting teeth?

RCT of the front teeth costs $300-$1500, Bicuspids $400-$1800, and Molars $500-$2000. Keep in mind that root canal treatments are usually followed by dental crowns, which will add to the cost. Fluoride treatments are highly cost-effective and can prevent the development of caries.

When can a tooth not be saved?

However, saving your tooth is not always possible. If your tooth is cracked or broken due to trauma, especially below the gum line, there may not be any way to preserve the tooth.

Can a black tooth be saved?

Treatments for a black tooth

Your dentist can usually remove a small amount of tooth around this area, removing the staining and/or decay and placing a some tooth-coloured bonding material over this area. The tooth bonding will blend in naturally with your surrounding teeth, making the repair invisible.

Is a black tooth an emergency?

If your teeth begin to turn black quickly, an emergency dentist will be the best option. Preventative care: A crucial sign of the quality of a dental practice is whether they offer preventative care.

Can you put a crown on a rotten tooth?

Crowns can be used for a severely decayed tooth that can no longer be saved. Drilling the badly decayed section can often lead to cracks. Thus, protecting it with a crown can stop the decay from getting worse.

Can you get a crown on rotten teeth?

As you can see, dental crowns are highly versatile in terms of how much tooth is needed for their placement. They can be placed when as much as ¾ of the natural tooth has been damaged or decayed, and can also be placed when the tooth is lacking both external and internal support.

Can a badly decayed molar be saved?

The first line of defense is a filling, but if the tooth decay is serious you may need a root canal. But you can only do this if the root is still healthy. If not, there is no choice but to extract the rotten tooth. With a root canal, the dentist will drill down the tooth to clean out the decay.

How do you fix a rotten bottom tooth?

When a tooth can't be saved due to severe rot, your dentist may extract the tooth and replace it with a denture, bridge, or an implant. If your child has a rotten baby tooth that can't be fixed with a dental filling, you may feel a root canal is unnecessary since this isn't your child's permanent tooth.

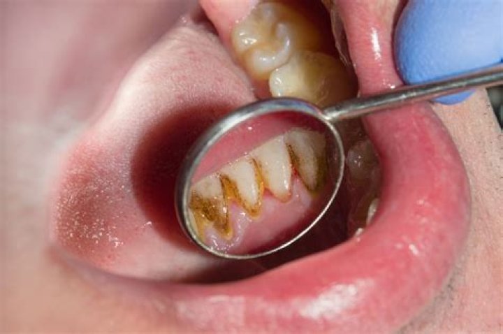
What does a rotten tooth look like?

If the process of tooth decay is allowed to continue, enamel will break down further. You may notice that a white spot on a tooth darkens to a brownish color. As enamel is weakened, small holes in your teeth called cavities, or dental caries, can form. Cavities will need to be filled by your dentist.

How can I strengthen my rotten teeth?

Demineralization and remineralization are interrelated and in constant flux.

  1. Brush your teeth. ...
  2. Use fluoride toothpaste. ...
  3. Cut out sugar. ...
  4. Chew sugarless gum. ...
  5. Consume fruit and fruit juices in moderation. ...
  6. Get more calcium and vitamins. ...
  7. Consider probiotics. ...
  8. Address your dry mouth.

What does it feel like when a tooth is dying?

A tooth that is dead or dying can lead to a varying level of pain, from almost non-existent to extremely painful. The dying nerve or an infection usually causes an increase in pain. Some people wonder why they experience pain if the nerve is dead.

Can a tooth be rotten and not hurt?

Symptoms of tooth decay

Tooth decay may not cause any pain. However, if you have dental caries you might have: toothache – either continuous pain keeping you awake or occasional sharp pain without an obvious cause. tooth sensitivity – you may feel tenderness or pain when eating or drinking something hot, cold or sweet.

Why is my tooth black inside?

Pulp necrosis occurs when pulpitis progresses and the nerve and blood vessels in the tooth die. If you have pulp necrosis, your tooth loses its ability to sense hot and cold. The inside of your tooth may also become black or brown since it's lost its blood supply.

Is it better to save a tooth or pull it?

Saving your tooth is always preferred but there are circumstances in which you have no choice but to extract it. If the tooth is cracked, especially below the gum line or in more than one place, there may be no way to save it. If it is too weak to be fixed, it may be best to pull it out.

Can a infected tooth be saved?

Dentists will treat a tooth abscess by draining it and getting rid of the infection. They may be able to save your tooth with a root canal treatment, but in some cases the tooth may need to be pulled. Leaving a tooth abscess untreated can lead to serious, even life-threatening, complications.

How do you treat a rotten tooth at home?

Salt. Salt water can also be very effective in getting rid of tooth decay. For this, mix a little salt in lukewarm water and gargle with it.

How do you get rid of a rotten tooth at home?

Here are a few tips to help you pull out your loose tooth painlessly.

  1. Keep Wiggling. Wiggle the tooth back and forth with your clean hands or tongue, as it will help loosen it and fall out on its own.
  2. Brush and Floss Vigorously. ...
  3. Wet Wash Cloth/Gauze. ...
  4. Twist and Pull Gently. ...
  5. Visit Your Dentist.

Is fixing your teeth worth it?

Missing teeth are no joke and are absolutely worth your time and investment to correct. A high-tech dental implant is the best way to restore missing teeth and improve your health, function, and smile.

Is A dead tooth an emergency?

It's important to treat a dying or dead tooth as soon as possible. That's because left untreated, the bacteria from the dead tooth can spread and lead to the loss of additional teeth. It could also affect your jawbone and gums. Your dentist may treat a dead or dying tooth with a procedure known as a root canal.