ClearView News
media /

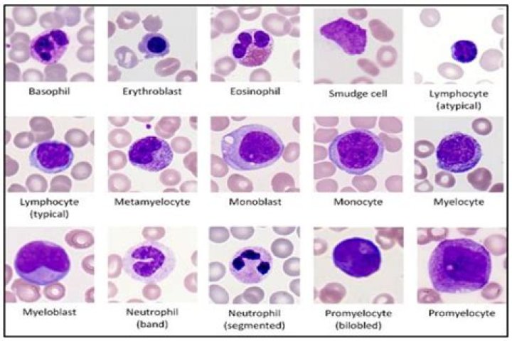
What is lymphocytes in CBC?

Lymphocytes are a type of white blood cell. They play an essential role in your immune system, helping your body fight infections. Having a temporarily high lymphocyte count usually means that your body is working as it should to protect you from germs that make you sick.

What does high lymphocytes in CBC mean?

If your doctor determines that your lymphocyte count is high, the test result might be evidence of one of the following conditions: Infection (bacterial, viral, other) Cancer of the blood or lymphatic system. An autoimmune disorder causing ongoing (chronic) inflammation.

What is normal lymphocyte count?

Lymphocytes. Lymphocytes normally represent 20 - 40% of circulating white blood cells. The normal concentration of lymphocytes is between 1.0 - 4.0 x 109/L.

What does it mean when lymphocytes are low?

Lymphocytopenia, also referred to as lymphopenia, occurs when your lymphocyte count in your bloodstream is lower than normal. Severe or chronic low counts can indicate a possible infection or other signficant illness and should be investigated by your doctor. Lymphocytes are a kind of white blood cell.

What level of lymphocytes indicate cancer?

The number of lymphocytes, a type of white blood cell, increases with certain types of cancers. Therefore, a lymphocyte count of more than 5,000 B cells per μl of blood indicates the possibility of cancer. However, increased lymphocytes also occur with other conditions, such as infections and inflammatory diseases.

Complete Blood Count (CBC) Test Results Interpretation w/ Differential Nursing NCLEX

What CBC indicates cancer?

CBC Findings Suggesting Acute Leukemia

  • Normal or high mean corpuscular volume (MCV) in the blood.
  • Increment in total white blood cell (WBC) count.
  • Decrease in platelet count.
  • Severe normochromic anemia.
  • Presence of immature blood cells.

Should I worry about low lymphocytes?

These cells help protect your body from infection. If you have low numbers of lymphocytes (lymphopenia), you are at higher risk of infection. Lymphopenia symptoms can range from mild to serious and are correlated to the severity of the lymphopenia as well as its duration.

Does Covid cause low lymphocytes?

Further analysis showed that 70.2% of the COVID-19 cases had low circulating lymphocyte count, of which 64.1% were severe cases and 85.0% were critical cases (75.9% recovered cases and 93.5% died).

What diseases cause low lymphocytes?

Your body doesn't make enough lymphocytes (and other white blood cells). This can be seen when your bone marrow is affected by diseases such as aplastic anemia or leukemia. Your body makes enough lymphocytes and other blood cells, but they're being destroyed faster than your bone marrow can replace them.

What causes lymphocytes to be high?

It can indicate an underlying health problem, such as infection. Lymphocytes are a type of white blood cell that fights germs and prevents disease. Rapid increases in lymphocyte numbers can indicate an infection or underlying health condition. Transmissible causes of lymphocytosis are usually acute viral infections.

Is 48 lymphocytes normal?

Lymphocytes are high - 48 % Is required.

Is 3.3 High For lymphocytes?

Having too many or too few lymphocytes can be a sign of disease. The normal lymphocyte range in adults is between 1,000 and 4,800 lymphocytes in 1 microliter (µL) of blood. In children, the normal range is between 3,000 and 9,500 lymphocytes in 1 µL of blood.

Is 52 lymphocytes high?

Normal lymphocyte percentage is between 20-40%. If you percentage is 56, that means you have lymphocytosis. Causes of lymphocytosis include: Acute viral infections, such as infectious mononucleosis (glandular fever), hepatitis and Cytomegalovirus infection. Other acute infections such as pertussis.

Can stress cause high lymphocytes?

During mental stress the absolute number of leukocytes, lymphocytes, CD8+ cells, and CD16+ cells increased significantly, and the rate of CD8+ cell increase was higher than CD4+ cell increase.

Can COVID-19 affect lymphocytes?

Current research suggests that lymphopenia, defined as a low lymphocyte count, is commonly present in patients with COVID-19 [3,4]. There is also evidence that the degree of lymphopenia correlates with illness severity in patients with COVID-19 [[5], [6], [7]].

What is the most common cause of low lymphocytes?

Lymphocytopenia is most often due to AIDS, and recently COVID-19, or undernutrition, but it also may be inherited or caused by various infections, drugs, or autoimmune disorders. Patients have recurrent viral, fungal, or parasitic infections. Lymphocyte subpopulations and immunoglobulin levels should be measured.

Is 1.2 a low lymphocyte count?

There are two other results with low readings: lymphocytes are 0.1 (range is 1.2-3.4), and lymphocyte percent is 3.4 (range is 20-45).

What cancers cause low lymphocytes?

In some cases, blood cancer like Hodgkin's disease, aplastic anemia, autoimmune disease, and cancer treatment can cause decreased lymphocyte levels. Low lymphocyte count is often detected during routine blood tests.

How can I raise my lymphocyte count?

Healthy ways to strengthen your immune system

  1. Don't smoke.
  2. Eat a diet high in fruits and vegetables.
  3. Exercise regularly.
  4. Maintain a healthy weight.
  5. If you drink alcohol, drink only in moderation.
  6. Get adequate sleep.
  7. Take steps to avoid infection, such as washing your hands frequently and cooking meats thoroughly.

What tests detect cancer?

Imaging tests used in diagnosing cancer may include a computerized tomography (CT) scan, bone scan, magnetic resonance imaging (MRI), positron emission tomography (PET) scan, ultrasound and X-ray, among others. Biopsy. During a biopsy, your doctor collects a sample of cells for testing in the laboratory.

What is an alarming WBC count?

How many white blood cells (WBCs) someone has varies, but the normal range is usually between 4,000 and 11,000 per microliter of blood. A blood test that shows a WBC count of less than 4,000 per microliter (some labs say less than 4,500) could mean your body may not be able to fight infection the way it should.

What is the range of WBC in cancer?

150,000 to 400,000 per microliter.

Is 30% lymphocytes normal?

Normal Results

Lymphocytes: 20% to 40%

Is 28% lymphocytes normal?

Lymphocytes are a type of white blood cell. They're an important part of your immune system. About 20% to 40% of your white blood cells are lymphocytes.